Tình trạng sẹo lõm sau mụn là vấn đề phổ biến, ảnh hưởng trực tiếp đến bề mặt da và thẩm mỹ khuôn mặt. Trên thực tế, các loại sẹo rỗ được phân chia dựa trên hình dạng, độ sâu và mức độ tổn thương khác nhau, tùy thuộc vào cơ địa mỗi người. Việc nhận diện chính xác từng loại sẹo rỗ sẽ giúp lựa chọn phương pháp điều trị phù hợp, từ đó nâng cao hiệu quả cải thiện làn da.

Các loại sẹo rỗ thường gặp
Mỗi loại sẹo rỗ có đặc điểm cấu trúc, khả năng đáp ứng điều trị khác nhau và các loại thường gặp trên da mặt bao gồm: sẹo đáy nhọn, sẹo đáy vuông, sẹo chân tròn và sẹo rỗ hỗn hợp.

Các loại sẹo rỗ sau mụn
1. Sẹo rỗ đáy nhọn/chân đá (Ice-pick Scar)
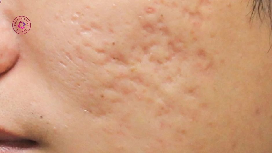
Sẹo rỗ đáy nhọn là loại sẹo phổ biến nhất, chiếm khoảng 60–70% các trường hợp mặt rỗ sau mụn (1). Đặc điểm dễ nhận biết của loại sẹo này là miệng sẹo rất nhỏ (thường dưới 2mm) nhưng ăn sâu xuống trung bì sâu hoặc thậm chí lớp mô dưới da.
Hình dạng sẹo thuôn dần từ bề mặt vào bên trong, tạo cảm giác như da bị chọc bởi đầu kim hoặc vật nhọn. Chính vì miệng sẹo nhỏ nên sẹo chân đá đôi khi dễ bị nhầm lẫn với lỗ chân lông to, nhưng khi quan sát kỹ dưới ánh sáng nghiêng sẽ thấy độ sâu rõ rệt.
Nguyên nhân hình thành sẹo đáy nhọn chủ yếu là do mụn viêm nặng, mụn bọc, mụn nang hoặc nặn mụn sai cách làm phá hủy mô da sâu. Trong các loại sẹo rỗ thường gặp, sẹo chân đá được đánh giá là khó điều trị nhất do độ sâu lớn và cấu trúc sẹo hẹp, thường được xếp vào nhóm sẹo rỗ nặng cần phác đồ kết hợp đa phương thức mới có thể cải thiện.

Sẹo rỗ đáy nhọn (sẹo chân đá) là dạng sẹo phổ biến nhưng khó điều trị nhất do cấu trúc hẹp và ăn sâu xuống mô da.
2. Sẹo rỗ đáy vuông (Boxcar Scar)
Sẹo rỗ đáy vuông là dạng sẹo có miệng rộng hơn sẹo đáy nhọn, bờ sẹo rõ ràng, vách sẹo gần như thẳng đứng và đáy sẹo tương đối phẳng chiếm khoảng 20–30% các trường hợp sẹo rỗ sau mụn. Đường kính sẹo thường dao động từ 1,5 – 4mm, dễ quan sát bằng mắt thường.
Loại sẹo rỗ này thường hình thành sau mụn trứng cá viêm hoặc mụn viêm kích thước lớn, gây tổn thương mô da trên diện rộng. Dựa vào độ sâu, sẹo rỗ chân vuông có thể chia thành sẹo nông (độ sâu dưới 0,5mm) và sẹo sâu (độ sâu trên 0,5mm).
So với sẹo đáy nhọn, sẹo đáy vuông có khả năng đáp ứng điều trị tốt hơn, đặc biệt nếu được can thiệp sớm. Tuy nhiên, với những trường hợp sẹo tồn tại lâu năm, mô xơ hình thành cứng chắc, việc cải thiện sẽ cần phác đồ chuyên sâu và kiên trì.

Sẹo rỗ chân vuông là dạng sẹo có khả năng đáp ứng điều trị tốt nếu được can thiệp sớm
3. Sẹo rỗ đáy tròn/sẹo lượn sóng (Rolling Scar)
Sẹo rỗ đáy tròn hay còn gọi là sẹo lượn sóng, có đặc điểm bờ sẹo nông, thoải, không có vách sẹo rõ ràng như sẹo đáy vuông, chiếm khoảng 15–25% các trường hợp sẹo rỗ. Đường kính sẹo thường lớn, khoảng 4–5mm, đáy nông nhưng lan rộng, khiến bề mặt da trông gợn sóng khi nhìn nghiêng.
Nguyên nhân chính của sẹo đáy tròn là do các dải xơ nằm dưới da, kéo chặt lớp bì và mô dưới da, làm bề mặt da bị lõm xuống theo từng vùng. Vì ảnh hưởng đến cả khu vực xung quanh, sẹo đáy tròn thường gây cảm giác da kém săn chắc, dễ tạo ấn tượng lão hóa và thiếu đàn hồi.
Trong các loại sẹo rỗ trên mặt, sẹo đáy tròn tuy không quá sâu nhưng lại ảnh hưởng nhiều đến tổng thể bề mặt da, khiến da kém mịn màng và khó che phủ bằng trang điểm.

Sẹo rỗ đáy tròn có vết lõm nông, rộng, liên kết với nhau tạo cảm giác da lượn sóng khi nhìn dưới ánh sáng.
4. Sẹo rỗ hỗn hợp
Sẹo rỗ hỗn hợp là tình trạng da xuất hiện đồng thời nhiều loại sẹo có đáy khác nhau, phổ biến nhất là sự kết hợp giữa sẹo đáy nhọn, sẹo chân vuông và sẹo đáy tròn. Đây là dạng sẹo thường gặp ở những người bị mụn viêm kéo dài, mụn tái phát nhiều lần hoặc có cơ địa dễ để lại sẹo.
Do các loại sẹo rỗ có đặc điểm và mức độ tổn thương khác nhau, sẹo rỗ hỗn hợp là dạng khó điều trị nhất nếu không được đánh giá đúng ngay từ đầu. Việc xác định chính xác từng loại sẹo trên da giúp xây dựng phác đồ điều trị phù hợp, tránh áp dụng sai phương pháp và làm giảm hiệu quả cải thiện.
Các vị trí trên da thường xuất hiện sẹo rỗ
Việc quan sát vị trí các loại sẹo rỗ giúp hỗ trợ xác định loại sẹo chính xác hơn vì không phải vị trí nào trên mặt cũng xuất hiện loại sẹo có đặc điểm giống nhau.
- Vùng má là nơi xuất hiện sẹo phổ biến nhất, đặc biệt ở những người từng bị mụn viêm nặng hoặc mụn tái phát nhiều lần. Tại khu vực này, sẹo rỗ thường có kích thước tương đối lớn, miệng sẹo rõ, chủ yếu là sẹo đáy vuông và sẹo đáy tròn. Thói quen nặn mụn bằng tay hoặc chăm sóc da không đúng cách khiến vùng má dễ bị tổn thương sâu và để lại sẹo mụn rỗ lâu dài.
- Vùng cằm thường xuất hiện sẹo rỗ hỗn hợp, do đây là khu vực dễ bị mụn nội tiết kéo dài. Mụn viêm tái đi tái lại khiến da không có đủ thời gian phục hồi hoàn toàn, dẫn đến nhiều dạng đan xen như sẹo chân vuông và sẹo đáy nhọn. Ngoài ra, quá trình da tăng sừng để tự bảo vệ cũng có thể khiến vùng da sau mụn trở nên lõm rõ hơn.
- Vùng mũi tuy ít bị mụn viêm nặng nhưng vẫn có nguy cơ hình thành sẹo rỗ, chủ yếu do mụn đầu đen và mụn cám. Khi các loại mụn này bị lấy không đúng cách, lỗ chân lông bị giãn rộng và tổn thương bề mặt da, từ đó hình thành sẹo rỗ ở mũi, kích thước nhỏ, phân bố dày. Tình trạng này thường gặp ở người có da dầu và tuyến bã nhờn hoạt động mạnh.
- Vùng trán là nơi dễ xuất hiện sẹo đáy tròn mức độ nhẹ, đặc biệt ở những người bị mụn viêm rải rác hoặc mụn ẩn kéo dài. Các vết sẹo tại đây thường không quá sâu nhưng khiến bề mặt da kém mịn, dễ bị nhầm lẫn với lỗ chân lông to. Nguyên nhân thường liên quan đến dầu thừa, mồ hôi, tóc che phủ hoặc đội mũ bảo hiểm thường xuyên.
- Vùng thái dương có xu hướng hình thành sẹo rỗ đáy nhọn, do cấu trúc da tại đây mỏng và ít mô đệm. Khi mụn viêm xuất hiện, tổn thương dễ ăn sâu xuống trung bì, tạo nên các vết sẹo nhỏ nhưng sâu. Loại sẹo này thường khó nhận biết khi nhìn trực diện và chỉ thấy rõ khi có ánh sáng chiếu nghiêng.
Điều trị sẹo rỗ chuẩn y khoa
Một số phương pháp thường dùng khi điều trị các loại sẹo rỗ như sau:
- Laser điều trị sẹo rỗ: nhằm kích thích tăng sinh collagen, tái tạo cấu trúc da, cải thiện sẹo đáy nhọn, chân vuông và đáy tròn. Các công nghệ laser thường được ứng dụng gồm:
- Laser xâm lấn: CO2, Er:YAG
- Laser phân đoạn (Fractional CO2)
- Laser không xâm lấn (Fractional Nd:YAG)
- Peel da hóa học:
- Peel nông: cải thiện bề mặt da, thâm sau mụn
- Peel trung bình: hỗ trợ sẹo đáy tròn và sẹo chân vuông nông
- CROSS TCA: chấm acid nồng độ cao vào đáy sẹo, phù hợp sẹo đáy nhọn và sẹo chân vuông hẹp
- Lăn kim: Tạo vi tổn thương kích thích cơ chế tự lành thương, phù hợp với sẹo đáy tròn và sẹo chân vuông nông
- Vi kim RF (RF siêu vi điểm): Kết hợp kim siêu vi điểm và sóng RF tác động sâu vào trung bì, tái cấu trúc mô da. Hiệu quả với sẹo rỗ sâu, sẹo đáy nhọn và sẹo khó điều trị
- Điều trị kết hợp theo phác đồ cá nhân hóa: Kết hợp nhiều phương pháp trong cùng liệu trình được xây dựng dựa trên loại sẹo, độ sâu và mức độ xơ dính giúp tối ưu hiệu quả và hạn chế rủi ro

Phương pháp lăn kim trong điều trị sẹo rỗ nông, giúp da đều màu và mịn hơn.
Tại Doctor Laser, quá trình điều trị sẹo rỗ được thực hiện trực tiếp bởi Bác sĩ Da liễu, kết hợp công nghệ laser hiện đại và quy trình theo dõi sát sao, giúp cải thiện cấu trúc da an toàn, hiệu quả.
- Địa chỉ: 33Bis Phan Đình Phùng, P. Phú Nhuận, TP.HCM
- Hotline: 0346 888 794
- Fanpage: https://www.facebook.com/phongkhamthammydoctorlaser/
- Website: doctorlaser.org
Sẹo rỗ không chỉ ảnh hưởng đến thẩm mỹ mà còn phản ánh mức độ tổn thương sâu của làn da sau mụn. Việc nhận diện và phân loại đúng các loại sẹo rỗ là bước quan trọng giúp xây dựng phác đồ điều trị phù hợp, an toàn và mang lại hiệu quả lâu dài.
Nguồn tham khảo:
- Connolly, D., Vu, H. L., Mariwalla, K., & Saedi, N. (2017, September 1). Acne Scarring—Pathogenesis, evaluation, and treatment options. https://pmc.ncbi.nlm.nih.gov/articles/PMC5749614/







